AI耳勺是一款实用又智能的采耳工具软件,能轻松连接智能采耳设备,让你在采耳时清晰了解耳道内的状况,让采耳更轻松便捷;它具备高清镜头模式,可清楚掌握采耳情况,还能通过拍照和视频记录采耳信息,确保使用安全放心。此外,AI耳勺提供AI检测功能,用户可直接上传耳道图片,分析检测耳朵的健康状况,以便详细了解并科学应对,助力高效采耳;作为简单易用的采耳辅助工具,它是用户必备的采耳好帮手,有需要的用户不妨来本站体验一番!

1、设备连接
你可以直接在应用里添加采耳设备的连接,这样能让你清楚掌握采耳的具体情况,让体验过程更顺畅。
2、镜头拍摄
这款应用配备强大的采耳镜头拍摄功能,能实时拍摄并监控采耳过程中的画面,让操作更加便捷。
3、横竖屏切换
支持横屏与竖屏切换查看采耳状况,让你了解采耳信息更简单,操作也更高效。
4、AI检测
具备强大的AI检测能力,只需上传耳朵图片即可开展智能分析,助力你了解耳朵的相关症状。
5、拍照录像
具备出色的拍照与录像能力,能直接在应用内拍摄记录耳部画面,方便用户随时查看。
6、检测记录
每次检测耳朵时,系统都会自动记录相关数据,用户可以在应用里方便地查看这些记录,还能通过对比功能来查看不同检测之间的信息差异。
1、便捷连接
简单便捷的连接方式,在应用里能轻松检索并匹配采耳设备,既便捷又高效。
2、设备状态
借助软件能实时掌握设备的运行状态,了解剩余电量情况,这样就能在电量不足时及时充电,避免因没电而影响使用。
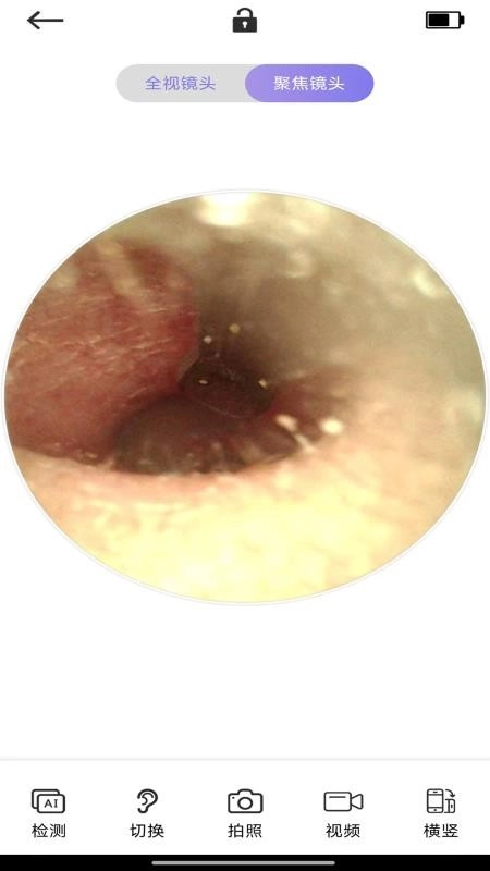
3、高清镜头
这段采耳镜头清晰度极高,还支持全视镜头与聚焦镜头两种拍摄模式,让你可以清晰查看细节。
4、清晰记录
在应用里能一键拍摄记录耳朵画面,方便日常通过图片形式智能分析症状。
5、专业分析
这套专业的耳部病症分析模式,能帮你详细了解自身耳部状况,为后续分析提供便利。
6、我的相册
相册设计清晰直观,用户能在应用内轻松查看所有相关信息,便于对比观察耳朵的状况。
1、在线开启AI耳勺功能,可随时打开并与智能采耳设备建立连接;
2、完成连接后,通过采耳功能在应用里就能查看实时画面,让采耳操作更高效;
3、点击拍照或视频按钮,即可轻松拍摄记录画面,还能录制高清视频;
4、进入AI检测页面后,只需一键上传图片,就能对耳朵症状情况进行分析并了解结果。
5、进入个人中心即可查看我的相册、视频及检测记录等内容,方便随时了解相关信息。
AI耳勺优化了用户日常采耳的操作方式,简单几步即可完成设备绑定,助力高效采耳,带来更舒适的耳部护理体验;它具备AI检测功能,能智能分析耳部状况,识别潜在问题,为对症处理提供参考,让使用更安心;另外,还能辅助医生快速掌握耳部情况,让日常采耳治疗等工作开展得更顺畅!
下载排行